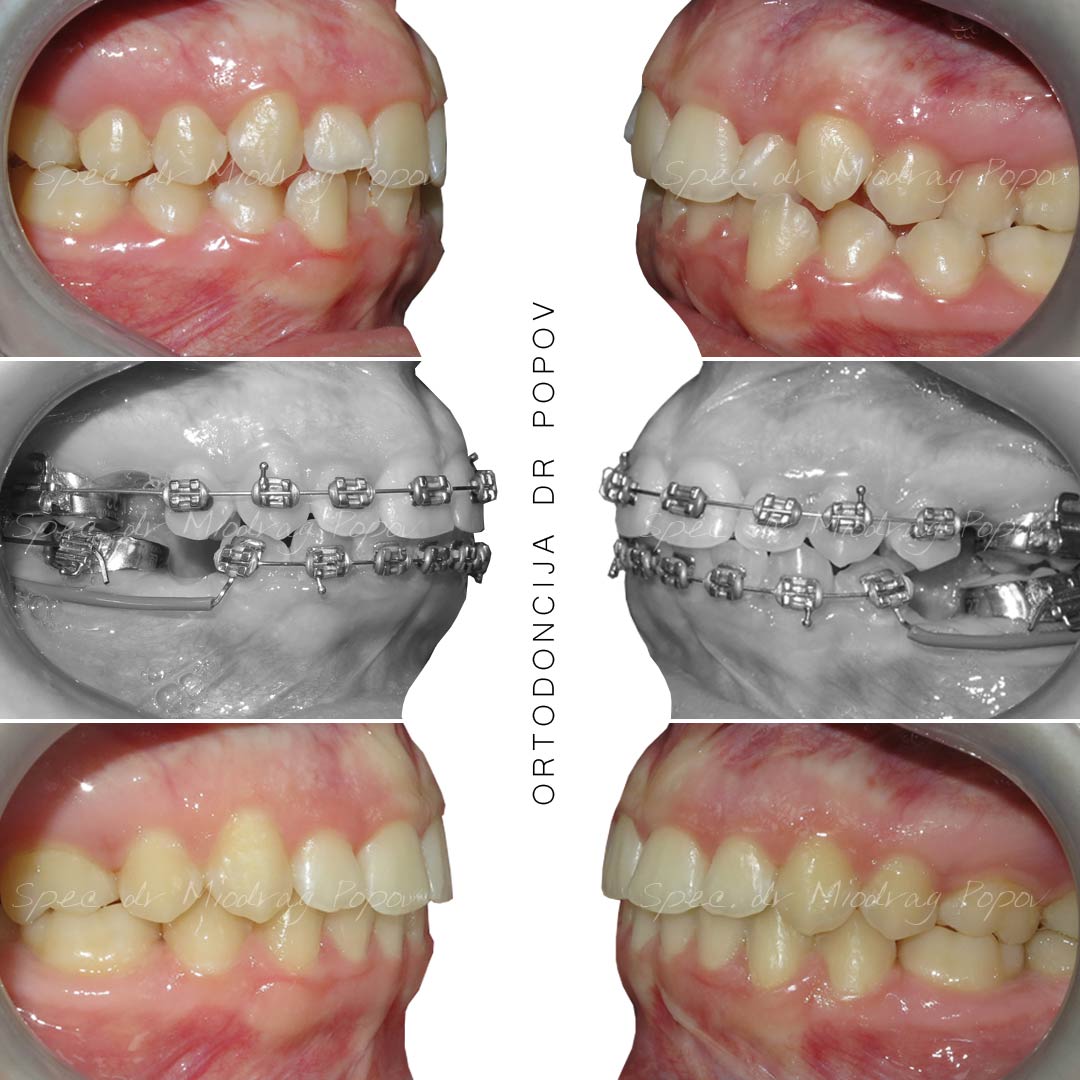
Description
Extraction does not mean retraction!
Pacijenti često imaju bojaznost da će im se vađem zuba narušiti profil.
Pravilnim zatvaranjem prostora u toku terapije izbegava se maksimalno narušavanje profila pacijenta, a u mnogim situacijama dolazi i do poboljšanja.









