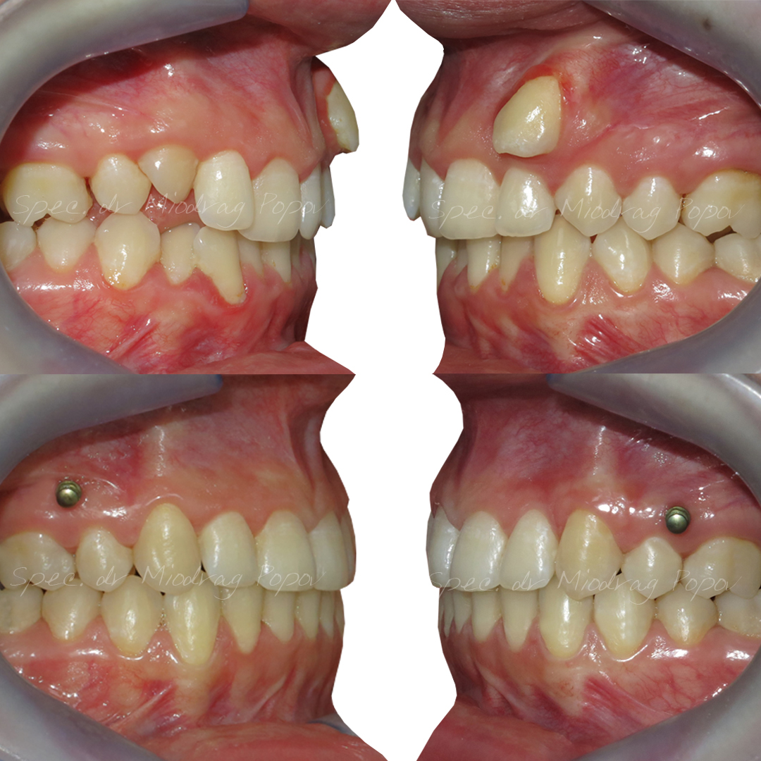
Asimetrija-ektopicno postavljen zub; problem prostora-teskoba

Description

Najava:

Spremni za novu transformaciju osmeha? Evo jedne inspirativne priče!

Umetnost preciznosti:

Transformacija osmeha nije samo popravka, već prava umetnost preciznosti i inovacije!

Predstavljanje slučaja:

Danas predstavljamo slučaj gde je ektopično, bukalno postavljen očnjak – vidljiv pri osmehu, uspešno vraćen u zubni niz.

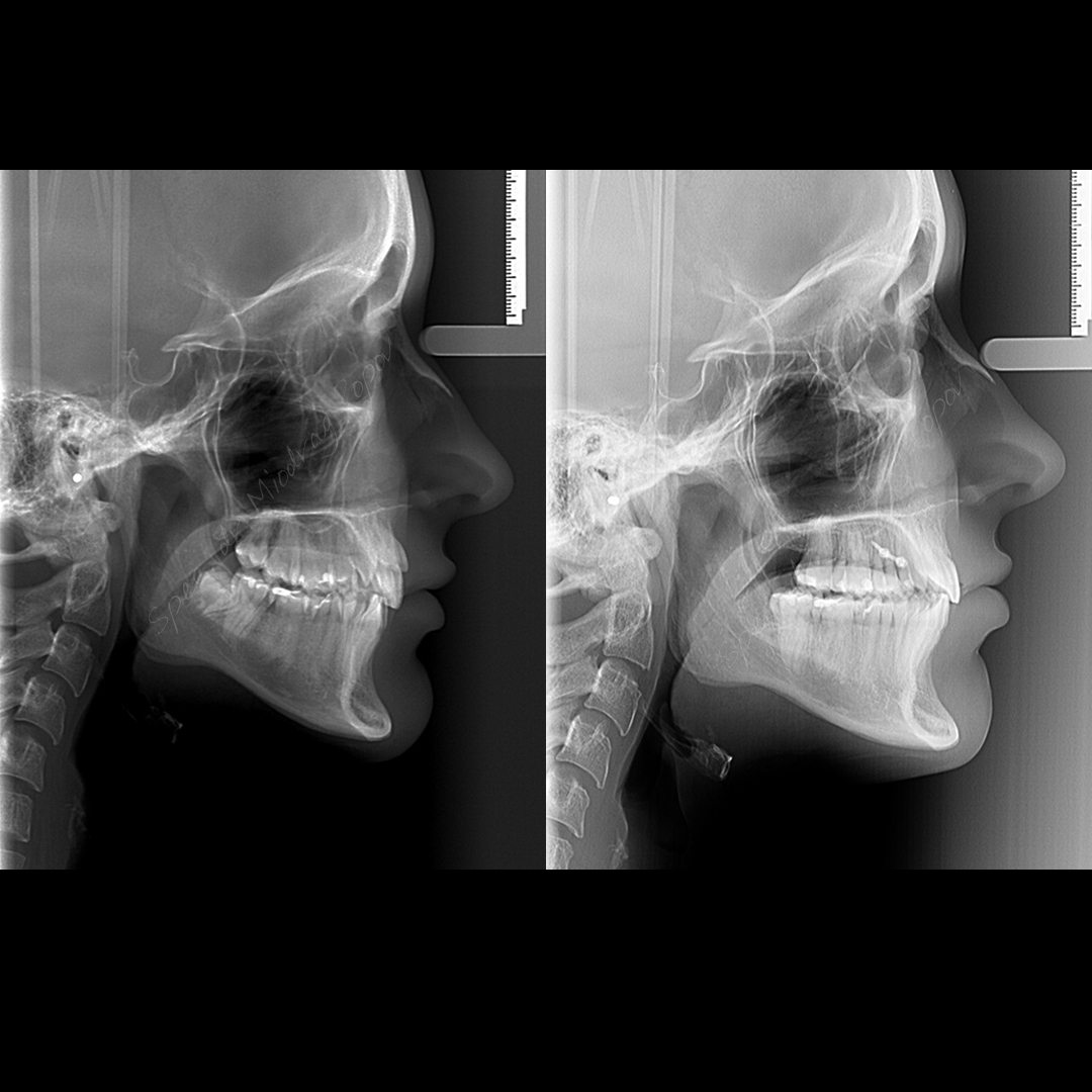
Tehnički detalji:

Bitno je istaći da je uz precizno vođenu mehaniku i upotrebu konzole i mini implantata, postignut fenomenalan estetski rezultat.

Rezultat:

Pacijentkinjin profil je ostao nepromenjen, dok je osmeh postao još lepši i prirodniji!

Zahvalnost:

Zahvaljujemo se na poverenju i radujemo se što smo deo ovakvih transformacija