Description
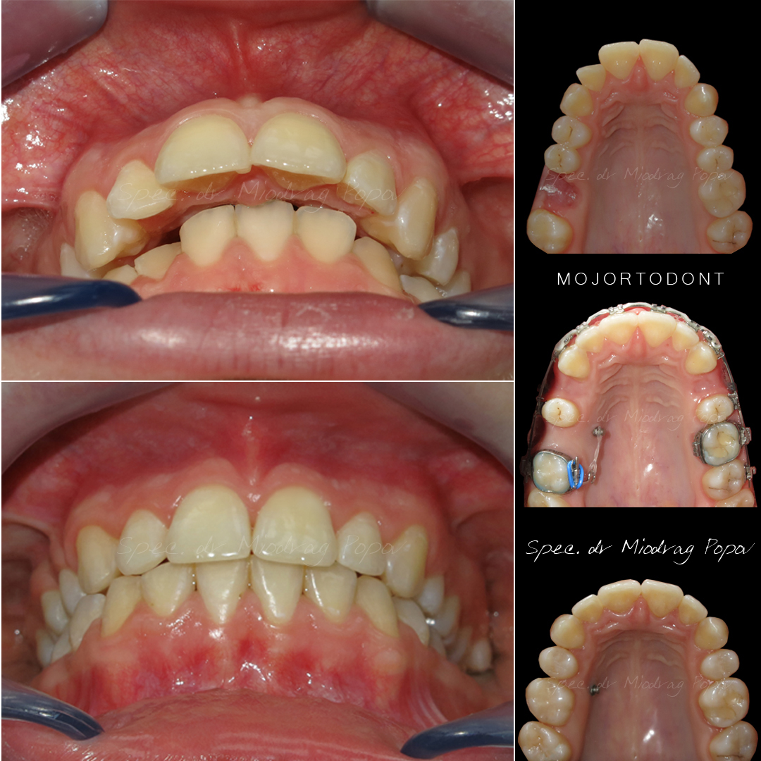
Slučaj ortodontske terapije II klase s vađenjem gornjih prvih predkutnjaka.
Na početku terapije, pacijentkinja je već imala izvađen gornji prvi kutnjak.
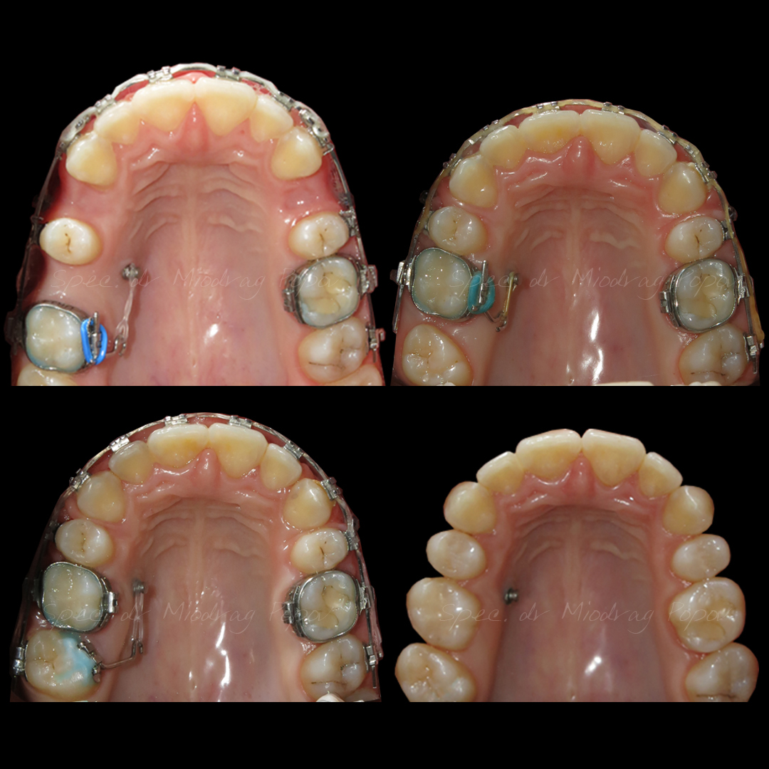
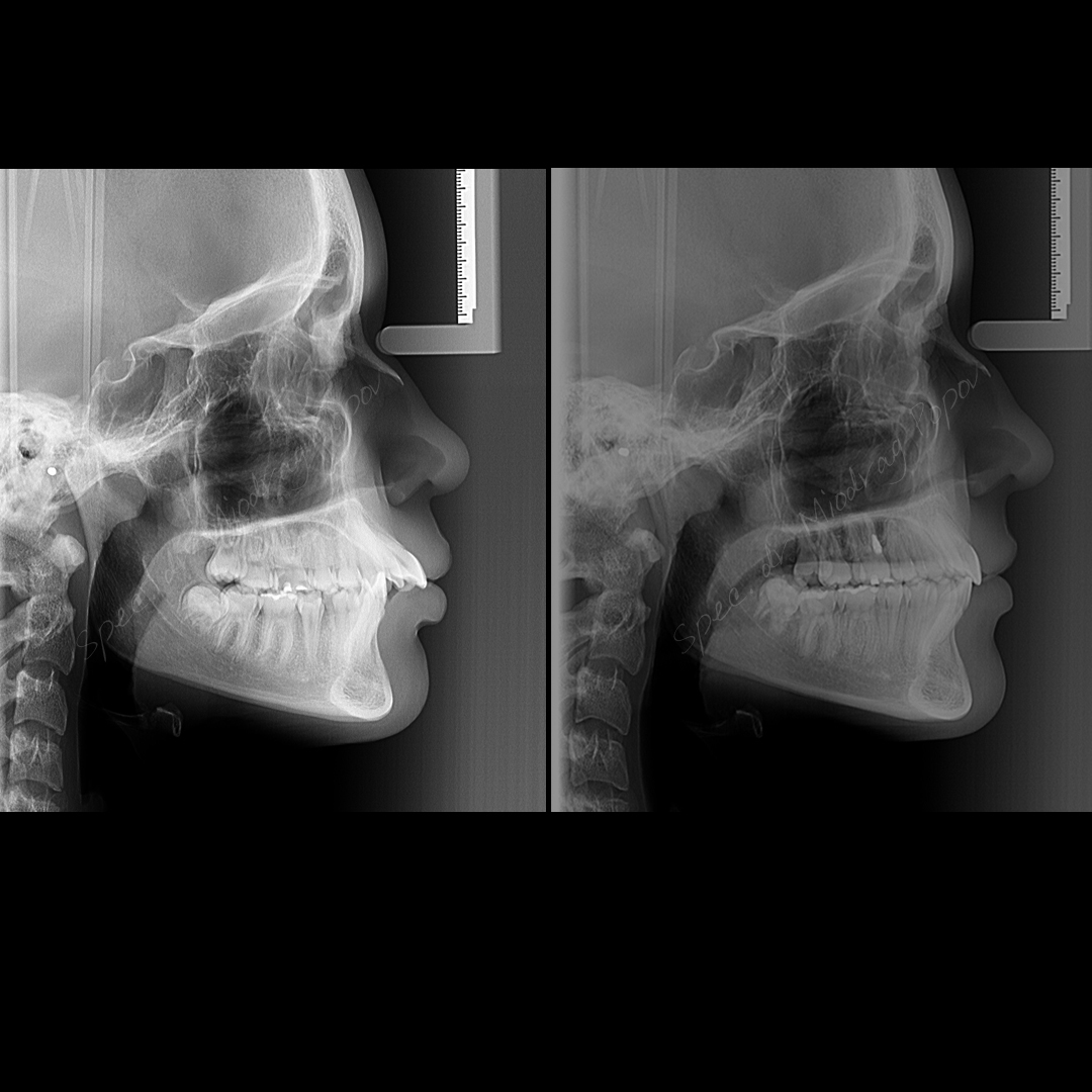
Tokom tretmana, svi prostori su zatvoreni, a profil lica transformisan.
Rezultat? Jasno definisana brada i harmoničan profil!
Najlepši deo: presrećna pacijentkinja s osmehom koji govori više od reči!














