Description
Upornost u ortodociji se uvek isplati jer ortodoncija nisu samo ravni zubi koje svaki ortodont može da reši za 6 – 8 meseci.
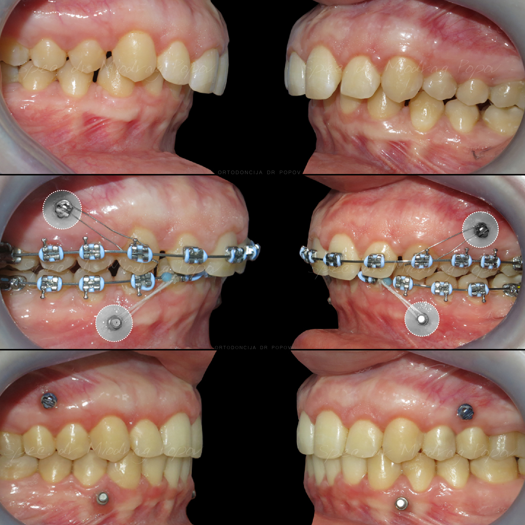
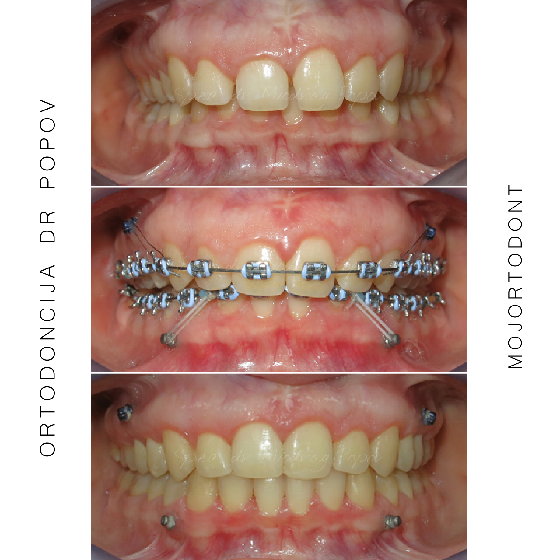
Na početku ortodontske terapije uvek se prvo uspostavilista problema i ciljevi ortodontske terapije na osnovu kojih se pravi mehanički plan.
Takav plan se postepeno korak po korak sprovodi u delo.
U ovom slučaju glavni problemi su bili:
- Distalan zagrižaj
- Nagnuta okluzalna ravan
- Asimetričan gummy smile
- Neslaganje sredina zubnih nizova
Svi zajedno smo se trudili i na kraju smo uspeli da dobijemo prelep rezultat.













