Description
Klasa II/2 izazov prihvaćen i rešen!
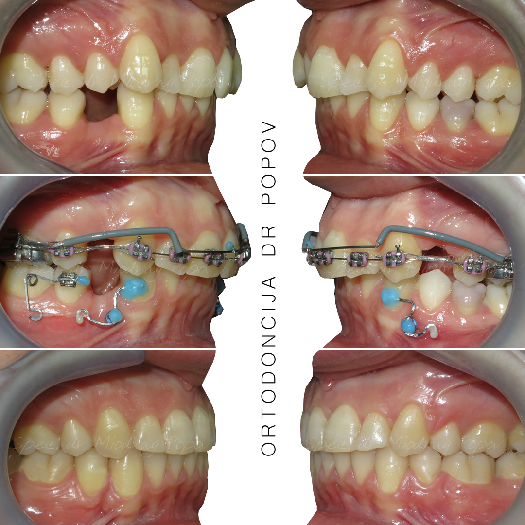
Odrasli pacijenti sa malokluzijom klase II/2, dubokim preklopom sekutića i povećanom vidljivošću desni pri osmehu predstavljaju jedan od najzahtevnijih slućajeva u ortodonciji. U ovom slučaju, terapiju je dodatno otežala davno izgubljena donja desna četvorka.
Kako bismo postigli simetriju zagrižaja, odlučili smo se za ekstrakcionu terapiju – uklonili smo bolesnu donju levu peticu i dve gornje četvorke. Iako pacijenti često brinu o izgledu lica nakon vađenja zuba, pravilno vođena ortodontska terapija osigurava harmoničan profil i prelep osmeh.
Rezultat? Savršeno zatvoreni prostori, idealan zagrižaj i mesto za nicanje umnjaka – bez potrebe za protetskim nadoknadama i hirurgijom!
Swipe za transformaciju!











