Description
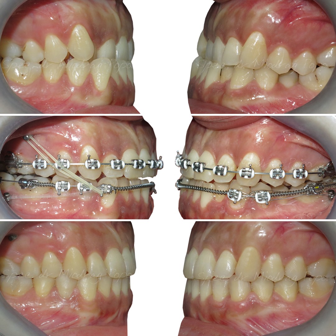
Jedan od naših top slučajeva iz 2024. godine!
Uz pomoć mini implantata uspeli smo da rešimo sledeće nepravilnosti kod pacijenta:
- 1/2 III klasa obrnutim prekolopom gornjih frontalnih zuba
- Teskoba u gornjem i donjem zubnom nizu
- Neusaglašene sredine zubnih nizova
- Jednostrano ukršten zagrižaj
Preciznost i stabilnost koje pružaju mini implanti omogućile su nam vrhunski rezultat!
Delimo ovo iskustvo kao inspiraciju i poziv na diskusiju. Radujemo se vašim utiscima!











